-
- 定価:¥105,600
- オンラインショップ価格:¥100,320
医師国家試験の症例問題を参考に診療の様子を映像化しています。「医療面接」「臨床診断(確定診断)」「解説」という構成となっており、「医療面接」では、患者の主訴や症状、病歴などから疾患を鑑別し、必要な検査について考えます。「臨床診断」では、検査データ、画像などから確定診断を考えます。また、監修の橋本先生による解説で学習者の理解がより深まります。
[Vol.01] 循環器
[Vol.02] 呼吸器
[Vol.03] 腎・泌尿器
-
- 定価:¥35,200
- オンラインショップ価格:¥33,440
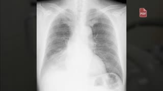
63歳の男性(前胸部痛)。72歳の男性(突然の背部痛と冷汗)。78歳の男性(呼吸困難と下腿浮腫)の3症例を収録しています。
Index
●Case 1
〇医療面接
〇臨床診断
〇確定診断
〇症例解説
●Case 2
〇医療面接
〇臨床診断
〇症例解説
●Case 3
〇医療面接
〇臨床診断
〇その後の経過
〇症例解説 -
- 定価:¥35,200
- オンラインショップ価格:¥33,440
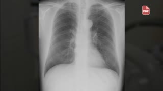
32歳の男性(発熱と咳嗽)。67歳の男性(息苦しさ)。65歳の女性(繰り返す発熱、咳嗽および呼吸困難)の3症例を収録しています。
Index
●Case 1
〇医療面接
〇臨床診断
〇症例解説
●Case 2
〇医療面接
〇臨床診断
〇症例解説
●Case 3
〇入院経過
〇臨床診断
〇症例解説 -
- 定価:¥35,200
- オンラインショップ価格:¥33,440
23歳の女性(発熱)。25歳の男性(下腿の浮腫)。75歳の男性(尿が出ない)の3症例を収録しています。
Index
●Case 1
〇医療面接
〇臨床診断
〇症例解説
●Case 2
〇医療面接
〇臨床診断
〇症例解説
●Case 3
〇医療面接
〇臨床診断
〇症例解説
